Ana Mendieta

Die Völklinger Hütte in Rotes Licht getaucht
Copyright: Weltkulturerbe Völklinger Hütte | Oliver Dietze

geboren 1948 in Havanna, CU
gestorben 1985 in New York City, US

Werk

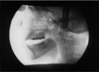
X-Ray, Ana Mendieta

Ana Mendieta

16-mm-Film, transferiert auf HD Video, schwarz/weiß, Ton
Copyright: Courtesy the Artist and Marion Goodman Gallery

Der Mitte der 1970er Jahre entstandene Film X-rays zeigt Bewegtbildröntgenaufnahmen des Schädels der kubanischen Künstlerin Ana Mendieta. Ihr Kopf wird aus verschiedenen Blickwinkeln durchleuchtet, während sie die immer gleiche Folge von Vokalen und Konsonanten wiederholt. Dabei nutzt sie Fluoroskopie-Technik der Universität von Iowa, die sonst dazu eingesetzt wird, Sprachstörungen zu diagnostizieren. Mendietas lautliche Äußerungen erinnern an eine Zungenrede in Trance; sie selbst hat sich als „neolithische Schamanin“ bezeichnet. Mit X-rays erschafft die Künstlerin ein Selbstporträt, in dem sich ihr augenscheinlich sichtbares Selbst im Röntgenblick zu einem Ur-Wesen transzendiert.